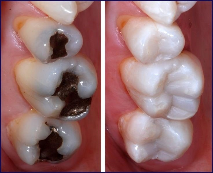
White fillings are among the most common treatment options patients get to fix their cavities or broken teeth. This solution is made to match your natural teeth and can last for years to come. This is one of the reasons they make a great option to maintain your natural smile.
However, as with natural teeth, stains are common with white fillings. We often ask how to whiten stained fillings and restore their natural look. Some easy yet effective steps can help. But first, we will understand why white fillings get stained.
Why Do White Fillings Get Stained?
Unfortunately, the fillings may begin to stain and alter their attractive appearance with time. This discoloration may occur due to the following reasons:

- Food and Drinks: Some foods and drinks such as tea, coffee, red wine, and berries stain white fillings and natural teeth. It is safe to say that these fillings attract such foods with strong pigments.
- Smoking and Tobacco Use: Your fillings also stain with too much use of chemical-heavy products that are often used as drugs. The consistency of nicotine and tar in this product can easily stain your teeth and fillings.
- Tooth Care: Plague can accumulate around the fillings without brushing or flossing properly. Once food and bacteria get trapped inside the plaque, chronic staining will likely occur afterward.
- Aging of Fillings: Composite fillings may lose their charm with time due to regular use as the filling material grows old. Surface roughness becomes the new normal, and more stains are trapped against the filling while the area becomes hard to clean.
- Acidic Food and Drink: Some foods and drinks with high acid content may affect the bonding material that secures the filling. This can cause the filling to break down or discolor more rapidly.
While white are a treatment for a long time they can also stain. Understanding the reason for the stains can help you select an excellent approach to cleaning and maintaining your fillings.
How to Remove Stains from White Fillings
Removing stains from white fillings is possible. Though this will take effort, some options can effectively remove stains from your white fillings.
Professional Cleaning
Dentists for specialized tooth cleaning are the most obvious option for removing stains from your white fillings. They use special devices and cleaning agents to polish the surfaces of the fillings and restore their original luster. They can also look for signs of wear or other damage needing treatment.
Toothpaste for whitening
There are options for toothpaste specially made for whitening. They will prove to be effective for minor stains on your teeth. You must thoroughly and regularly brush your teeth twice daily using these toothpastes.
Avoid Staining Foods and Drinks
Foods that stain your teeth must be avoided to maintain white fillings. Coffee, tea, red wine, and berries are foods known to stain teeth and fillings easily. Though you may not completely need to avoid them, cleaning your mouth each time you consume them can reduce the chances of stains.
Stop smoking
It has been observed that filling stains are highly related to smoking. The high tar content in cigarettes can turn your teeth yellow while weakening gums and affecting overall health. The moment you give up smoking, it will make you feel physically good and also help in improving your dental hygiene.
Baking Soda Paste
To create a paste, combine a little baking soda with water. Once a week, this paste can gently scrub your teeth to remove any surface stains. However, do not use this more often. Baking soda is abrasive; thus, overuse will likely harm enamel and fillings on your teeth.
When to Replace Stained Fillings
Sometimes, the stains on your fillings can not be removed if the filling is too old or damaged. Such cases make it crucial for your dentist to replace the stained filling with a brand-new one. This ensures your teeth keep looking natural and stops further worries of further damage.
Some Simple Tips to Maintain White Fillings
Keeping your white fillings clean and excellent requires regular care. Here are a few recommendations to maintain your fillings and prevent possible stains:
Brush and Floss Daily
Daily brushing your teeth with fluoride toothpaste will free them from plaque buildup that causes staining. Be sure to use soft-bristled toothbrushes for best results for protecting both fillings and natural teeth.
Use a Mouthwash
Using mouthwash after meals removes unnecessary food particles that may lead to plaque buildup. It can be helpful to protect your teeth from infections caused by bacteria besides aiding in oral hygiene.
Avoid Abrasive Products
Some products of oral care can prove harsh for white fillings. Always seek a recommendation from your dentist before using over-the-counter whitening kits.
Use a Straw
This is one of the easiest and most effective tools to protect your fillings from stains. Using a straw can help you maintain a minimum contact between your white filling and drinks.
When To See A Professional
Well-maintained oral hygiene and avoiding teeth staining activities are helpful to prevent white fillings from getting stained for several years to come. However, once you see more noticeable changes in the appearance of your fillings or teeth, it is the right time to seek consultation from an expert.
As your reliable partner in dental care, Gentle Teeth & Braces helps you with our dedicated team’s assistance focusing on your mouth’s cosmetic care. Whether you need a routine cleaning appointment or guidance on maintaining your white fillings, contacting one of our experts today will help.
Conclusion
Stained white fillings can affect your smile and confidence. However, they don’t have to be permanent. You can maintain a beautiful and healthier smile by knowing how to remove stains from white fillings. Regular care, professional cleanings, and avoiding staining activities are key to maintaining your fillings’ appearance quality and longevity.
You can always rely on our Gentle Teeth & Braces experts for effective care of white fillings or to find an excellent solution that suits your needs. Proper oral care and following your dentist’s guidelines will allow you to enjoy a beautiful smile for years to come.