Getting one of your teeth damaged or broken is normal. Most of us avoid this issue in case the damage is minor. But it is important to know that your broken teeth can also cause some future dental problems if not treated on time. Treating broken teeth is easy, and some options can fix it for years to come. White fillings are among the favorites due to their natural appearance.
As you damage your teeth, you will definitely want a solution that will last for a long time. But how long do white fillings last? There are several factors affecting the lifespan, such as the material quality, oral care habits, and the location where it is filled in your mouth.
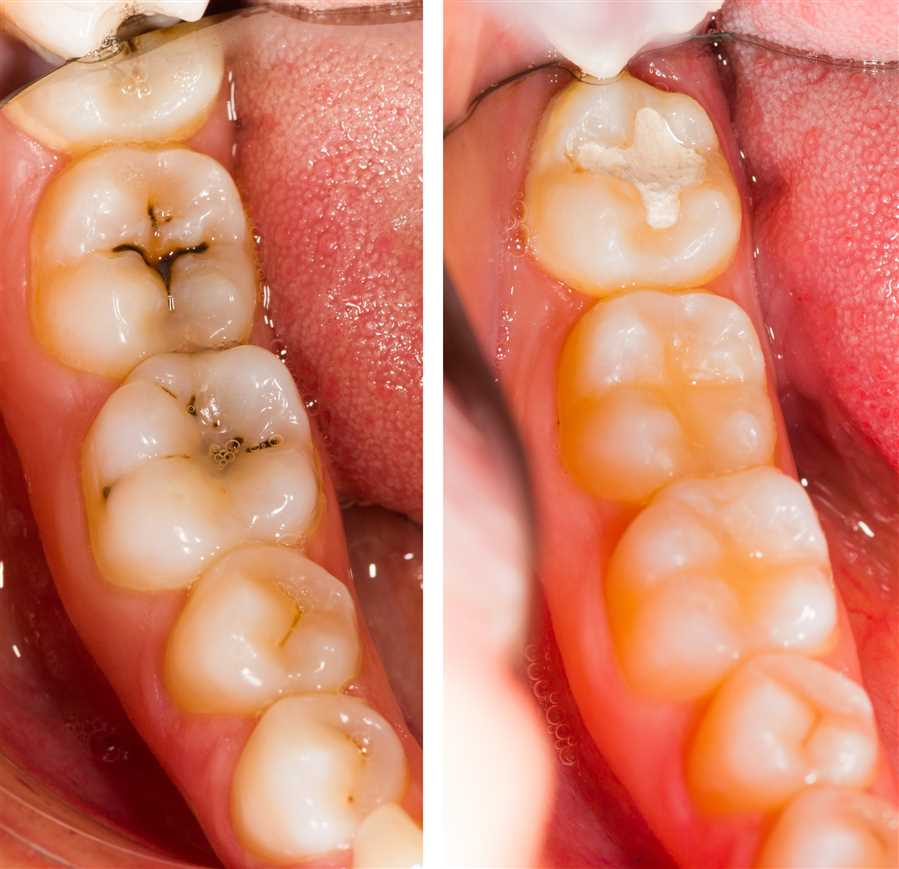
White Fillings Types and Their Expected Lifespan

As soon as you begin exploring options for tooth fillings, the first question should be how long can a filling last. The option of White fillings is known for both their natural look and their long lifespan. They come in tooth-colored material to blend in seamlessly with the rest of your teeth and are among the most commonly used white filling types. Here are some popular examples:
Composite Fillings
The durable plastic resin material of these fillings is molded into place to match the shape and size of the damaged tooth. These fillings provide a quick and cost-effective way of filling cavities without needing additional tooth structure removed for adjustments. Composite fillings have become particularly popular as a quick solution that has a lifespan typically lasting 12-15 years.
Porcelain or Ceramic fillings
Porcelain fillings are completely undetectable when they’re applied to damaged portions of your teeth to match texture and size. Their discreet nature and natural feel mean you likely won’t even remember having these fillings fixed to your teeth. Though they are little on the costly side, their lifespan of 15 to 20 years with proper care could make their cost worthwhile.
Glass Ionomer Fillings
Generally preferred to fill small cavities, these fillings are made using acrylic and glass materials. Also, glass fillings are not known to be the sturdiest, and they typically last for only 5 to 7 years. That’s why dentists normally use them to fix those teeth that are not used to chew food.
Signs That Your White Fillings Need to be Replaced
White fillings will provide years of relief against tooth damage and decay; however, like any filling, they must be replaced at some point. Here are a few signs that show your white fillings require replacement:
- Visible Cracks: If your filling appears damaged and has fractures that can be seen, replacement may be necessary.
- Sensitivity or Pain: Persistent discomfort when eating hot, cold, or sweet food could indicate that your filling has failed and needs replacement.
- Discoloration: Staining or discoloration around the edges could indicate that a filling failed to seal effectively, and a replacer may be necessary in order to avoid further damage to teeth.
- Rough Texture: White fillings can help ensure that your teeth function normally, while any rough textures indicate potential wear-and-tear issues with them. Any indications of roughness on them could signal potential signs of decay.

Tips to Extend Your White Fillings Lifespan
Dental treatments are only successful when you also pay attention to maintenance. White fillings are no different. With proper care, any type of white filling can last 10-20 years. Following a few guidelines could prove extremely useful in maintaining and prolonging their lifespan.
- Maintain Oral Hygiene: White fillings require just as much care as your natural teeth do, so ensure to brush twice daily and floss after every meal as well as use fluoride toothpaste as this will protect both fillings and your natural teeth.
- Avoid Hard and Chewy Foods: Immediately following getting white fillings, it is not advised to chew on hard or chewy foods, as these could potentially damage them and shorten their expected lifespan.
- Wear a Mouthguard: If you regularly engage in physical or sports activities that put stress on your fillings, wearing a mouthguard could be of paramount importance. A mouthguard will reduce the pressure put upon your teeth and fillings and extend their longevity.
- Follow Routine Dental Checkups: Regular checkups help your dentist assess and recognize the effectiveness of white feelings on your teeth. Also, it can help them address potential issues early.
- Limit Sugary and Acidic Foods: Such foods are known to damage dental fillings and shorten their lifespan, so limiting their consumption is recommended for optimal oral health. While it may be impossible to cut back completely, limiting their consumption is better.
When Will You Need Professional Help?
White fillings are a long-term solution to protect your teeth from damage and decay. Following a proper care routine and regular checkups can ensure that you benefit from this treatment for a minimum of ten years. Nonetheless, if you see any noticeable changes in your white fillings or there is a sign of discomfort or tooth sensitivity, consulting with your dentist right away will be necessary. Early intervention will protect your teeth from further damage while securing their structure.
If you need advice about caring for white fillings or have any treatment-related inquiries, be sure to visit Gentle Teeth & Braces for guidance on your treatment and aftercare needs. Our team is more than ready to assist.
Final Words
In conclusion, the durability and natural appearance of white fillings make them a suitable choice for patients who prefer an aesthetically appealing treatment that also offers a long lifespan. While a replacement will be required after a specific time, with proper care and regular checkups, white fillings will prove their worth and prevent tooth damage and dental problems associated with it.
If you seek better guidance on how long do white fillings last or tips on dental health, consult a dentist from Gentle Teeth & Braces today. Our team of oral care experts will be ready to guide you at every step.